|
Background: |
This gene encodes the protein elongin C, which is a subunit of the transcription factor B (SIII) complex. The SIII complex is composed of elongins A/A2, B and C. It activates elongation by RNA polymerase II by suppressing transient pausing of the polymerase at many sites within transcription units. Elongin A functions as the transcriptionally active component of the SIII complex, whereas elongins B and C are regulatory subunits. Elongin A2 is specifically expressed in the testis, and capable of forming a stable complex with elongins B and C. The von Hippel-Lindau tumor suppressor protein binds to elongins B and C, and thereby inhibits transcription elongation. Multiple alternatively spliced transcript variants encoding two distinct isoforms have been identified. |
|
Applications: |
ELISA, IHC |
|
Name of antibody: |
ELOC |
|
Immunogen: |
Fusion protein of human ELOC |
|
Full name: |
elongin C |
|
Synonyms: |
SIII; TCEB1 |
|
SwissProt: |
Q15369 |
|
ELISA Recommended dilution: |
5000-10000 |
|
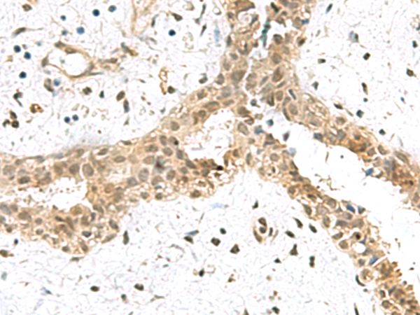
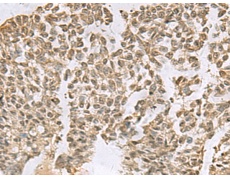
IHC positive control: |
Human breast cancerHuman ovarian cancer |
|
IHC Recommend dilution: |
50-300 |

購物車
幫助
021-54845833/15800441009
