中文名稱: 兔抗UBLCP1多克隆抗體
|
Background: |
Dephosphorylates 26S nuclear proteasomes, thereby decreasing their proteolytic activity. The dephosphorylation may prevent assembly of the core and regulatory particles (CP and RP) into mature 26S proteasome. |
|
Applications: |
ELISA, WB, IHC |
|
Name of antibody: |
UBLCP1 |
|
Immunogen: |
Fusion protein of human UBLCP1 |
|
Full name: |
ubiquitin like domain containing CTD phosphatase 1 |
|
Synonyms: |
CPUB1 |
|
SwissProt: |
Q8WVY7 |
|
ELISA Recommended dilution: |
5000-10000 |
|
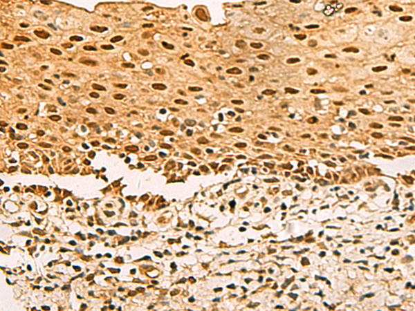
IHC positive control: |
Human cervical cancer |
|
IHC Recommend dilution: |
100-200 |
|
WB Predicted band size: |
37 kDa |
|
WB Positive control: |
A172 cell lysate |
|
WB Recommended dilution: |
1000-5000 |
購(gòu)物車
幫助
021-54845833/15800441009
