|
Background: |
This gene encodes coagulation factor VII which is a vitamin K-dependent factor essential for hemostasis. This factor circulates in the blood in a zymogen form, and is converted to an active form by either factor IXa, factor Xa, factor XIIa, or thrombin by minor proteolysis. Upon activation of the factor VII, a heavy chain containing a catalytic domain and a light chain containing 2 EGF-like domains are generated, and two chains are held together by a disulfide bond. In the presence of factor III and calcium ions, the activated factor then further activates the coagulation cascade by converting factor IX to factor IXa and/or factor X to factor Xa. Defects in this gene can cause coagulopathy. Alternatively spliced transcript variants encoding multiple isoforms have been observed for this gene. |
|
Applications: |
ELISA, IHC |
|
Name of antibody: |
F7 |
|
Immunogen: |
Fusion protein of human F7 |
|
Full name: |
coagulation factor VII (serum prothrombin conversion accelerator) |
|
Synonyms: |
SPCA |
|
SwissProt: |
P08709 |
|
ELISA Recommended dilution: |
1000-5000 |
|
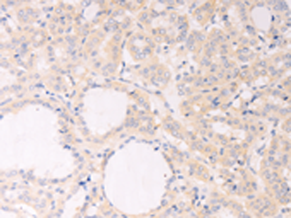
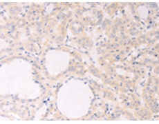
IHC positive control: |
Human thyroid cancer and human lung cancer |
|
IHC Recommend dilution: |
15-50 |
購物車
幫助
021-54845833/15800441009
