中文名稱: 兔抗UBR7多克隆抗體
|
Background: |
Ubiquitination is an important mechanism through which three classes of enzymes act in concert to target short-lived or abnormal proteins for destruction. The three classes of enzymes involved in ubiquitination are the ubiquitin-activating enzymes (E1s), the ubiquitin-conjugating enzymes (E2s) and the ubiquitin-protein ligases (E3s). Ubr7 (ubiquitin protein ligase E3 component n-recognin 7), also known as C14orf130 or N-recognin-7, is a 425 amino acid protein that contains one UBR-type zinc finger and one PHD zinc finger. Participating in protein modification events within the N-end rule pathway, Ubr7 functions as an E3 ubiquitin-protein ligase that recognizes and binds proteins that contain destabilizing N-terminal residues, thereby leading to their ubiquitination and subsequent degradation. |
|
Applications: |
ELISA, WB, IHC |
|
Name of antibody: |
UBR7 |
|
Immunogen: |
Fusion protein of human UBR7 |
|
Full name: |
ubiquitin protein ligase E3 component n-recognin 7 (putative) |
|
Synonyms: |
C14orf130 |
|
SwissProt: |
Q8N806 |
|
ELISA Recommended dilution: |
5000-10000 |
|
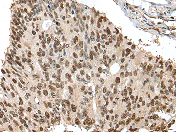
IHC positive control: |
Human colorectal cancer;Human liver cancer |
|
IHC Recommend dilution: |
30-150 |
|
WB Predicted band size: |
48 kDa |
|
WB Positive control: |
Hela cell lysate |
|
WB Recommended dilution: |
200-1000 |


購物車
幫助
021-54845833/15800441009
