中文名稱: 兔抗UBR5多克隆抗體
|
Background: |
This gene encodes a progestin-induced protein, which belongs to the HECT (homology to E6-AP carboxyl terminus) family. The HECT family proteins function as E3 ubiquitin-protein ligases, targeting specific proteins for ubiquitin-mediated proteolysis. This gene is localized to chromosome 8q22 which is disrupted in a variety of cancers. This gene potentially has a role in regulation of cell proliferation or differentiation. |
|
Applications: |
WB, IHC |
|
Name of antibody: |
UBR5 |
|
Immunogen: |
Synthesized peptide derived from Internal of human EDD. |
|
Full name: |
ubiquitin protein ligase E3 component n-recognin 5 |
|
Synonyms: |
DD5; EDD; HYD; EDD1 |
|
SwissProt: |
O95071 |
|
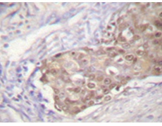
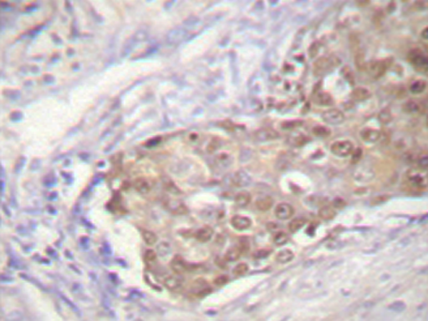
IHC positive control: |
Human breast carcinoma tissue |
|
IHC Recommend dilution: |
50-100 |
|
WB Predicted band size: |
309 kDa |
|
WB Positive control: |
A549 cells lysate |
|
WB Recommended dilution: |
500-3000 |

購物車
幫助
021-54845833/15800441009
