|
Background: |
This gene encodes a protein similar to receptors for the Fc fragment of gamma immunoglobulin (IgG). These receptors, referred to as FCGRs, mediate the destruction of IgG-coated antigens and of cells induced by antibodies. This encoded protein is selectively expressed in B cells, and may be involved in their development. This protein may also be involved in the development of lymphomas. Multiple alternatively spliced transcript variants that encode different protein isoforms have been described for this gene. |
|
Applications: |
ELISA, WB, IHC |
|
Name of antibody: |
FCRLA |
|
Immunogen: |
Fusion protein of human FCRLA |
|
Full name: |
Fc receptor like A |
|
Synonyms: |
FCRL; FCRX; FREB; FCRL1; FCRLX; FCRLb; FCRLd; FCRLe; FCRLM1; FCRLc1; FCRLc2 |
|
SwissProt: |
Q7L513 |
|
ELISA Recommended dilution: |
5000-10000 |
|
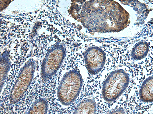
IHC positive control: |
Human colorectal cancer and Human prostate cancer |
|
IHC Recommend dilution: |
100-200 |
|
WB Predicted band size: |
39 kDa |
|
WB Positive control: |
Ramos cell lysate |
|
WB Recommended dilution: |
500-2000 |


購物車
幫助
021-54845833/15800441009
