|
Background: |
The protein encoded by this gene is a member of the fibroblast growth factor (FGF) family. FGF family members possess broad mitogenic and cell survival activities, and are involved in a variety of biological processes, including embryonic development, cell growth, morphogenesis, tissue repair, tumor growth and invasion. The rat homolog is predominantly expressed in embryonic brown adipose tissue and has significant mitogenic activity, which suggests a role in proliferation of embryonic brown adipose tissue. |
|
Applications: |
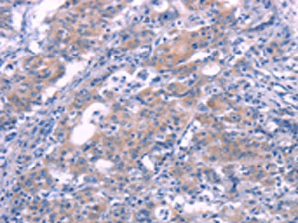
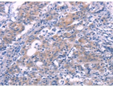
ELISA, IHC |
|
Name of antibody: |
FGF16 |
|
Immunogen: |
Synthetic peptide of human FGF16 |
|
Full name: |
fibroblast growth factor 16 |
|
Synonyms: |
MF4; FGF-16 |
|
SwissProt: |
O43320 |
|
IHC positive control: |
Human gastric cancer and human brain |
|
IHC Recommend dilution: |
25-100 |

購(gòu)物車
幫助
021-54845833/15800441009
