|
Background: |
This gene is a member of the Src family of protein tyrosine kinases (PTKs). The encoded protein contains N-terminal sites for myristylation and palmitylation, a PTK domain, and SH2 and SH3 domains which are involved in mediating protein-protein interactions with phosphotyrosine-containing and proline-rich motifs, respectively. The protein localizes to plasma membrane ruffles, and functions as a negative regulator of cell migration and adhesion triggered by the beta-2 integrin signal transduction pathway. Infection with Epstein-Barr virus results in the overexpression of this gene. Multiple alternatively spliced variants, encoding the same protein, have been identified. |
|
Applications: |
ELISA, IHC |
|
Name of antibody: |
FGR |
|
Immunogen: |
Synthetic peptide of human FGR |
|
Full name: |
FGR proto-oncogene, Src family tyrosine kinase |
|
Synonyms: |
SRC2; c-fgr; c-src2; p55-Fgr; p58-Fgr; p55c-fgr; p58c-fgr |
|
SwissProt: |
P09769 |
|
ELISA Recommended dilution: |
5000-10000 |
|
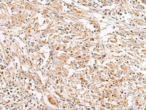
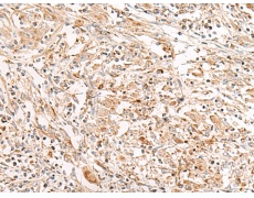
IHC positive control: |
Human liver cancer |
|
IHC Recommend dilution: |
30-150 |

購(gòu)物車
幫助
021-54845833/15800441009
