|
Background: |
FOXQ1 is a member of the FOX gene family, which is characterized by a conserved 110-amino acid DNA-binding motif called the forkhead or winged helix domain. FOX genes are involved in embryonic development, cell cycle regulation, tissue-specific gene expression, cell signaling, and tumorigenesis (Bieller et al., 2001 [PubMed 11747606]). |
|
Applications: |
ELISA, WB, IHC |
|
Name of antibody: |
FOXQ1 |
|
Immunogen: |
Synthetic peptide of human FOXQ1 |
|
Full name: |
forkhead box Q1 |
|
Synonyms: |
HFH1 |
|
SwissProt: |
Q9C009 |
|
ELISA Recommended dilution: |
5000-10000 |
|
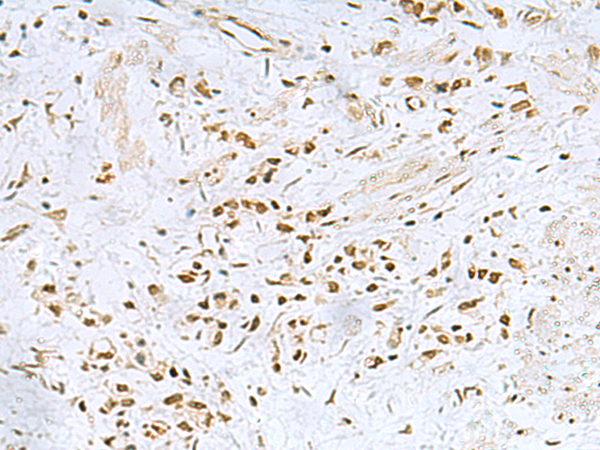
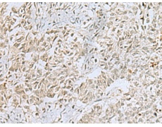
IHC positive control: |
Human gastric cancer and Human ovarian cancer |
|
IHC Recommend dilution: |
25-50 |
|
WB Predicted band size: |
42 kDa |
|
WB Positive control: |
Mouse kidney tissue lysate |
|
WB Recommended dilution: |
500-2000 |


購物車
幫助
021-54845833/15800441009
