中文名稱: 兔抗CORO1B多克隆抗體
|
Background: |
Members of the coronin family, such as CORO1B, are WD repeat-containing actin-binding proteins that regulate cell motility (Cai et al., 2005 [PubMed 16027158]). Regulates leading edge dynamics and cell motility in fibroblasts. May be involved in cytokinesis and signal transduction (By similarity). |
|
Applications: |
ELISA, IHC |
|
Name of antibody: |
CORO1B |
|
Immunogen: |
Synthetic peptide of human CORO1B |
|
Full name: |
coronin 1B |
|
Synonyms: |
CORONIN-2 |
|
SwissProt: |
Q9BR76 |
|
ELISA Recommended dilution: |
5000-10000 |
|
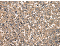
IHC positive control: |
Human liver cancer |
|
IHC Recommend dilution: |
25-100 |
購物車
幫助
021-54845833/15800441009
