|
Background: |
This gene encodes a member of the glycosyltransferase family. The specific function of this protein has not been determined. Alternative splicing results in multiple transcript variants of this gene |
|
Applications: |
ELISA, WB, IHC |
|
Name of antibody: |
GLT8D1 |
|
Immunogen: |
Fusion protein of human GLT8D1 |
|
Full name: |
glycosyltransferase 8 domain containing 1 |
|
Synonyms: |
AD-017; MSTP139 |
|
SwissProt: |
Q68CQ7 |
|
ELISA Recommended dilution: |
2000-5000 |
|
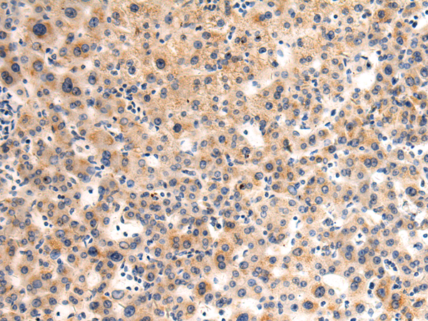
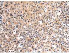
IHC positive control: |
Human liver cancer |
|
IHC Recommend dilution: |
100-300 |
|
WB Predicted band size: |
42 kDa |
|
WB Positive control: |
293T, LO2 cell lysates |
|
WB Recommended dilution: |
500-2000 |


購(gòu)物車
幫助
021-54845833/15800441009
