|
Background: |
This gene is located in a cluster of HLA-B-associated transcripts, which is included in the human major histocompatability complex III region. This gene encodes a protein which is thought to play a role in immunity. Multiple alternatively spliced variants, encoding the same protein, have been identified. |
|
Applications: |
ELISA, IHC |
|
Name of antibody: |
GPANK1 |
|
Immunogen: |
Fusion protein of human GPANK1 |
|
Full name: |
G-patch domain and ankyrin repeats 1 |
|
Synonyms: |
G5; BAT4; D6S54E; ANKRD59; GPATCH10 |
|
SwissProt: |
O95872 |
|
ELISA Recommended dilution: |
5000-10000 |
|
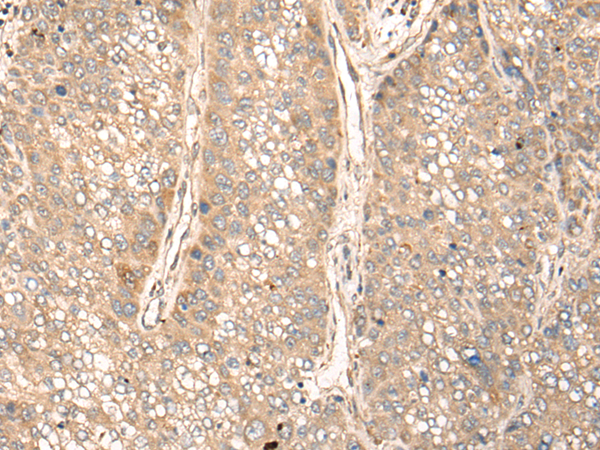
IHC positive control: |
Human liver cancer |
|
IHC Recommend dilution: |
25-100 |

購物車
幫助
021-54845833/15800441009
