中文名稱:兔抗MAGEA1多克隆抗體
|
Background: |
This gene is a member of the MAGEA gene family. The members of this family encode proteins with 50 to 80% sequence identity to each other. The promoters and first exons of the MAGEA genes show considerable variability, suggesting that the existence of this gene family enables the same function to be expressed under different transcriptional controls. The MAGEA genes are clustered at chromosomal location Xq28. They have been implicated in some hereditary disorders, such as dyskeratosis congenita. |
|
Applications: |
ELISA, IHC |
|
Name of antibody: |
MAGEA1 |
|
Immunogen: |
Synthetic peptide of human MAGEA1 |
|
Full name: |
MAGE family member A1 |
|
Synonyms: |
CT1.1; MAGE1 |
|
SwissProt: |
P43355 |
|
ELISA Recommended dilution: |
5000-10000 |
|
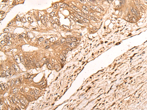
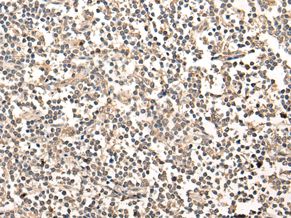
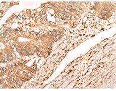
IHC positive control: |
Human tonsil and human colorectal cancer |
|
IHC Recommend dilution: |
50-300 |

購物車
幫助
021-54845833/15800441009
