|
Background: |
This gene is a member of the mitochondrial carrier family. The encoded protein is required during erythropoiesis and is important for the biosynthesis of heme. Mutations in this gene are the cause of autosomal congenital sideroblastic anemia. |
|
Applications: |
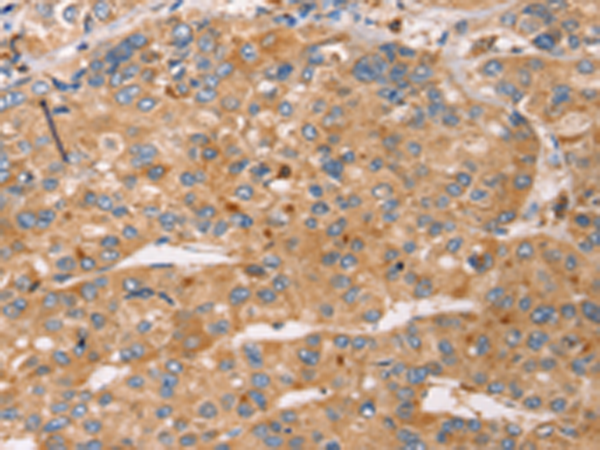
ELISA, IHC |
|
Name of antibody: |
SLC25A38 |
|
Immunogen: |
Synthetic peptide of human SLC25A38 |
|
Full name: |
solute carrier family 25, member 38 |
|
SwissProt: |
Q96DW6 |
|
ELISA Recommended dilution: |
2000-5000 |
|
IHC positive control: |
Human liver cancer and Human breast cancer |
|
IHC Recommend dilution: |
25-100 |
購物車
幫助
021-54845833/15800441009
