|
Background: |
SPINK7 (serine peptidase inhibitor, Kazal type 7), also known as Ecg2 (esophagus cancer-related gene 2 protein), is a 76 amino acid secreted protein. Containing one Kazal-like domain, SPINK7 is thought to be a serine protease inhibitor. The gene that encodes SPINK7 maps to human chromosome 5, which contains 181 million base pairs encoding around 1,000 genes. Chromosome 5 is associated with Cockayne syndrome through the ERCC8 gene and familial adenomatous polyposis through the adenomatous polyposis coli (APC) tumor suppressor gene. Treacher Collins syndrome is also chromosome 5 associated and is caused by insertions or deletions within the TCOF1 gene. Deletion of the p arm of chromosome 5 leads to Cri du chat syndrome. Deletion of 5q or chromosome 5 altogether is common in therapy-related acute myelogenous leukemias and myelodysplastic syndrome.Probable serine protease inhibitor. |
|
Applications: |
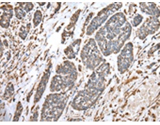
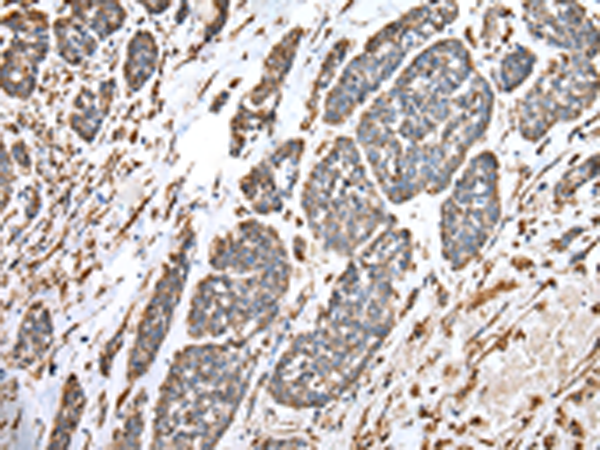
ELISA, IHC |
|
Name of antibody: |
SPINK7 |
|
Immunogen: |
Synthetic peptide of human SPINK7 |
|
Full name: |
serine peptidase inhibitor, Kazal type 7 (putative) |
|
Synonyms: |
ECG2; ECRG2 |
|
SwissProt: |
P58062 |
|
ELISA Recommended dilution: |
2000-5000 |
|
IHC positive control: |
Human prostate cancer and Human lung cancer |
|
IHC Recommend dilution: |
25-100 |
購物車
幫助
021-54845833/15800441009
