|
Background: |
The protein encoded by this gene may play a role in DNA repair during replication of damaged DNA. This protein recruits valosin containing protein (p97) to stalled DNA replication forks where it may prevent excessive translesional DNA synthesis and limit the number of DNA-damage induced mutations. It may also be involved in replication-related G2/M-checkpoint regulation. Deficiency of a similar protein in mouse causes chromosomal instability and progeroid phenotypes. Mutations in this gene have been associated with Ruijs-Aalfs syndrome (RJALS). Alternatively spliced transcript variants have been identified. |
|
|
Applications: |
ELISA, IHC |
|
|
Name of antibody: |
SPRTN |
|
|
Immunogen: |
Fusion protein of human SPRTN |
|
|
Full name: |
SprT-like N-terminal domain |
|
|
Synonyms: |
DVC1; PRO4323; spartan; C1orf124 |
|
|
SwissProt: |
Q9H040 |
|
|
ELISA Recommended dilution: |
5000-10000 |
|
|
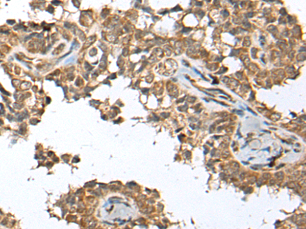
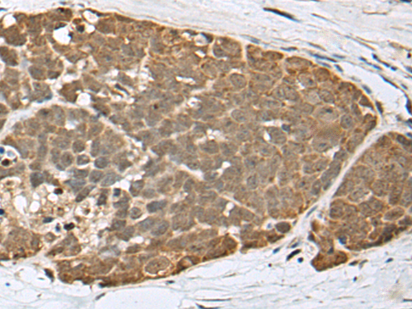
IHC positive control: |
Human thyroid cancer and human ovarian cancer |
|
|
IHC Recommend dilution: |
50-300 |
|

購物車
幫助
021-54845833/15800441009
