|
Background: |
Serine-threonine kinase receptor-associated protein is an enzyme that in humans is encoded by the STRAPgene. The SMN complex plays a catalyst role in the assembly of small nuclear ribonucleoproteins (snRNPs), the building blocks of the spliceosome. Thereby, plays an important role in the splicing of cellular pre-mRNAs. Most spliceosomal snRNPs contain a common set of Sm proteins SNRPB, SNRPD1, SNRPD2, SNRPD3, SNRPE, SNRPF and SNRPG that assemble in a heptameric protein ring on the Sm site of the small nuclear RNA to form the core snRNP. |
|
Applications: |
ELISA, IHC |
|
Name of antibody: |
STRAP |
|
Immunogen: |
Full length fusion protein |
|
Full name: |
serine/threonine kinase receptor associated protein |
|
Synonyms: |
MAWD; PT-WD; UNRIP |
|
SwissProt: |
Q9Y3F4 |
|
ELISA Recommended dilution: |
2000-5000 |
|
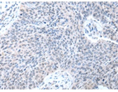
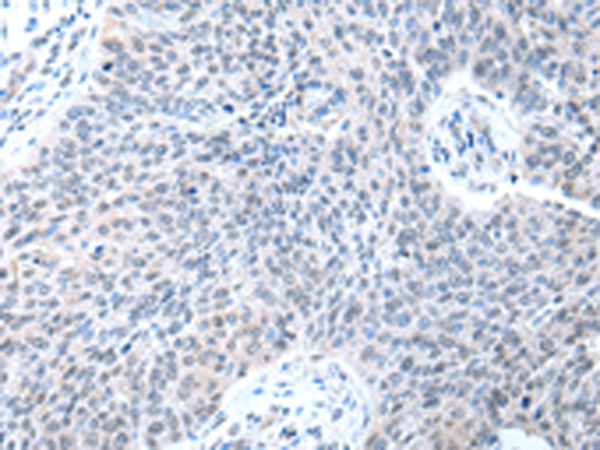
IHC positive control: |
Human lung cancer |
|
IHC Recommend dilution: |
20-100 |
購物車
幫助
021-54845833/15800441009
