|
Background: |
This gene belongs to a family of genes that function as receptors for tachykinins. Receptor affinities are specified by variations in the 5'-end of the sequence. The receptors belonging to this family are characterized by interactions with G proteins and 7 hydrophobic transmembrane regions. This gene encodes the receptor for the tachykinin neuropeptide substance K, also referred to as neurokinin A. |
|
Applications: |
ELISA, WB, IHC |
|
Name of antibody: |
TACR2 |
|
Immunogen: |
Synthetic peptide of human TACR2 |
|
Full name: |
tachykinin receptor 2 |
|
Synonyms: |
SKR, NK2R, NKNAR, TAC2R |
|
SwissProt: |
P21452 |
|
ELISA Recommended dilution: |
1000-2000 |
|
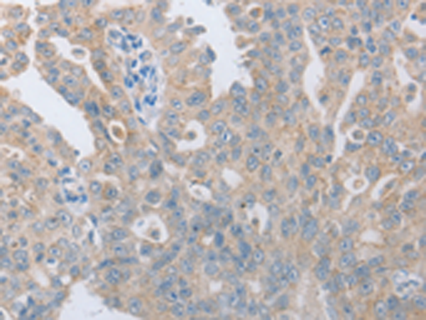
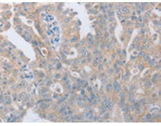
IHC positive control: |
Human ovarian cancer and Human cervical cancer |
|
IHC Recommend dilution: |
10-50 |
|
WB Predicted band size: |
44 kDa |
|
WB Positive control: |
Human liver cancer tissue |
|
WB Recommended dilution: |
200-1000 |

購(gòu)物車
幫助
021-54845833/15800441009
