|
Background: |
Fusion protein of human TFCP2 |
|
Applications: |
ELISA, WB, IHC |
|
Name of antibody: |
TFCP2 |
|
Immunogen: |
Fusion protein of human TFCP2 |
|
Full name: |
transcription factor CP2 |
|
Synonyms: |
LSF; SEF; LBP1C; LSF1D; TFCP2C |
|
SwissProt: |
Q12800 |
|
ELISA Recommended dilution: |
5000-10000 |
|
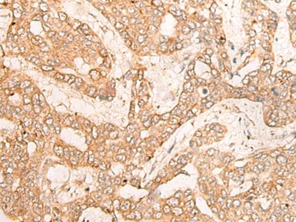
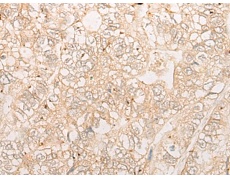
IHC positive control: |
Human liver cancer;Human gastric cancer |
|
IHC Recommend dilution: |
30-150 |
|
WB Predicted band size: |
57 kDa |
|
WB Positive control: |
293T,NIH/3T3 and K562 cell lysates |
|
WB Recommended dilution: |
200-1000 |


購物車
幫助
021-54845833/15800441009
