|
Background: |
Essential for gene silencing: has a role in the structure of silenced chromatin. Plays a role in the developing brain (By similarity). |
|
Applications: |
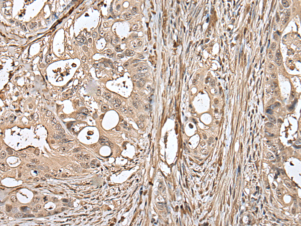
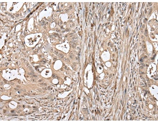
ELISA, IHC |
|
Name of antibody: |
UTP3 |
|
Immunogen: |
Fusion protein of human UTP3 |
|
Full name: |
UTP3 small subunit processome component |
|
Synonyms: |
CRL1; CRLZ1; SAS10 |
|
SwissProt: |
Q9NQZ2 |
|
ELISA Recommended dilution: |
5000-10000 |
|
IHC positive control: |
Human colorectal cancer and Human tonsil |
|
IHC Recommend dilution: |
40-200 |

購(gòu)物車
幫助
021-54845833/15800441009
