|
Background: |
This gene encodes a nuclear serine/threonine kinase that was first identified in Arabidopsis. The encoded protein is thought to function in the regulation of chromatin assembly in the S phase of the cell cycle by regulating the levels of a histone H3/H4 chaperone. This protein is associated with double-strand break repair of DNA damage caused by radiation. Pseudogenes of this gene are present on chromosomes 10 and 17. Alternate splicing results in multiple transcript variants. |
|
Applications: |
ELISA, IHC |
|
Name of antibody: |
TLK2 |
|
Immunogen: |
Fusion protein of human TLK2 |
|
Full name: |
tousled like kinase 2 |
|
Synonyms: |
HsHPK; MRD57; PKU-ALPHA |
|
SwissProt: |
Q86UE8 |
|
ELISA Recommended dilution: |
5000-10000 |
|
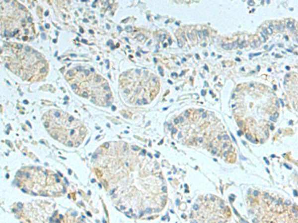
IHC positive control: |
Human gastric cancer and Human colorectal cancer |
|
IHC Recommend dilution: |
50-200 |

購物車
幫助
021-54845833/15800441009
