中文名稱:小鼠抗MICU1單克隆抗體
|
Background: |
This gene encodes an essential regulator of mitochondrial Ca2+ uptake under basal conditions. The encoded protein interacts with the mitochondrial calcium uniporter, a mitochondrial inner membrane Ca2+ channel, and is essential in preventing mitochondrial Ca2+ overload, which can cause excessive production of reactive oxygen species and cell stress. Alternatively spliced transcript variants encoding different isoforms have been described. |
|
Applications: |
WB, IHC |
|
Name of antibody: |
MICU1 |
|
Immunogen: |
Fusion protein of human MICU1 |
|
Full name: |
mitochondrial calcium uptake 1 |
|
Synonyms: |
CALC; EFHA3; MPXPS; CBARA1; ara CALC |
|
SwissProt: |
Q9BPX6 |
|
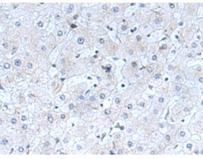
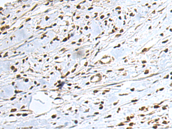
IHC positive control: |
Human liver cancer and Human thyroid cancer; Human colorectal cancer and Human gastric cancer |
|
IHC Recommend dilution: |
100-500 |
|
WB Predicted band size: |
54 kDa |
|
WB Positive control: |
A549, Hela, K562 and 231 cell lysates |
|
WB Recommended dilution: |
1000-5000 |


購(gòu)物車
幫助
021-54845833/15800441009
