|
Background: |
This gene encodes a multifunctional proinflammatory cytokine that belongs to the tumor necrosis factor (TNF) superfamily. This cytokine is mainly secreted by macrophages. It can bind to, and thus functions through its receptors TNFRSF1A/TNFR1 and TNFRSF1B/TNFBR. This cytokine is involved in the regulation of a wide spectrum of biological processes including cell proliferation, differentiation, apoptosis, lipid metabolism, and coagulation. This cytokine has been implicated in a variety of diseases, including autoimmune diseases, insulin resistance, and cancer. Knockout studies in mice also suggested the neuroprotective function of this cytokine. |
|
Applications: |
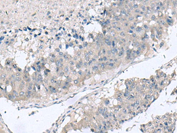
ELISA, IHC |
|
Name of antibody: |
TNF |
|
Immunogen: |
Synthetic peptide of human TNF |
|
Full name: |
tumor necrosis factor |
|
Synonyms: |
DIF; TNFA; TNFSF2; TNLG1F; TNF-alpha |
|
SwissProt: |
P01375 |
|
ELISA Recommended dilution: |
5000-10000 |
|
IHC positive control: |
Human colorectal cancerHuman liver cancer |
|
IHC Recommend dilution: |
20-100 |

購物車
幫助
021-54845833/15800441009
