中文名稱: 兔抗TUBG2多克隆抗體
|
Background: |
Tubulin is the major constituent of microtubules. The gamma chain is found at microtubule organizing centers (MTOC) such as the spindle poles or the centrosome. Pericentriolar matrix component that regulates alpha/beta chain minus-end nucleation, centrosome duplication and spindle formation (By similarity). |
|
Applications: |
ELISA, IHC |
|
Name of antibody: |
TUBG2 |
|
Immunogen: |
Fusion protein of human TUBG2 |
|
Full name: |
tubulin gamma 2 |
|
SwissProt: |
Q9NRH3 |
|
ELISA Recommended dilution: |
5000-10000 |
|
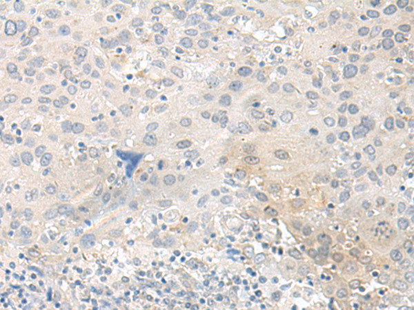
IHC positive control: |
Human cervical cancer |
|
IHC Recommend dilution: |
40-200 |

購(gòu)物車
幫助
021-54845833/15800441009
