|
Background: |
Component of the ESCRT-I complex, a regulator of vesicular trafficking process. Required for the sorting of endocytic ubiquitinated cargos into multivesicular bodies. May be involved in cell growth and differentiation. |
|
Applications: |
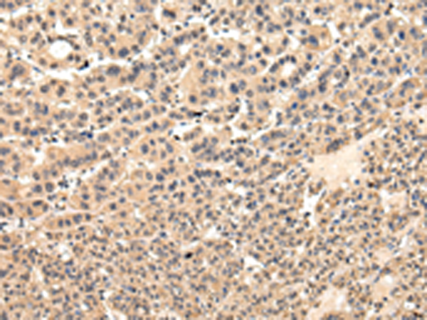
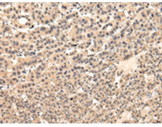
ELISA, IHC |
|
Name of antibody: |
VPS37D |
|
Immunogen: |
Fusion protein of human VPS37D |
|
Full name: |
VPS37D subunit of ESCRT-I |
|
Synonyms: |
WBSCR24 |
|
SwissProt: |
Q86XT2 |
|
ELISA Recommended dilution: |
2000-5000 |
|
IHC positive control: |
Human liver cancer and Human thyroid cancer |
|
IHC Recommend dilution: |
25-100 |
購物車
幫助
021-54845833/15800441009
