中文名稱: 兔抗UCHL5多克隆抗體
|
Background: |
Ubiquitin carboxyl-terminal hydrolase isozyme L5 is an enzyme that in humans is encoded by the UCHL5gene. Protease that specifically cleaves 'Lys-48'-linked polyubiquitin chains. Deubiquitinating enzyme associated with the 19S regulatory subunit of the 26S proteasome. Putative regulatory component of the INO80 complex; however is inactive in the INO80 complex and is activated by a transient interaction of the INO80 complex with the proteasome via ADRM1. |
|
Applications: |
ELISA, WB, IHC |
|
Name of antibody: |
UCHL5 |
|
Immunogen: |
Fusion protein of human UCHL5 |
|
Full name: |
ubiquitin carboxyl-terminal hydrolase L5 |
|
Synonyms: |
UCH37; CGI-70; INO80R; UCH-L5 |
|
SwissProt: |
Q9Y5K5 |
|
ELISA Recommended dilution: |
1000-2000 |
|
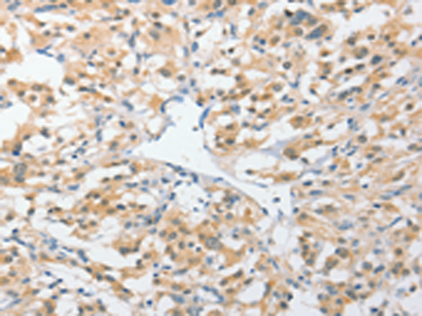
IHC positive control: |
Human thyroid cancer and human cervical cancer |
|
IHC Recommend dilution: |
25-100 |
|
WB Predicted band size: |
38 kDa |
|
WB Positive control: |
Human fetal kidney tissue and 293T cells |
|
WB Recommended dilution: |
200-1000 |


購物車
幫助
021-54845833/15800441009
