|
Background: |
Low density lipoprotein receptor-related protein 3 (LRP-3) is a protein that in humans is encoded by theLRP3 gene. Probable receptor, which may be involved in the internalization of lipophilic molecules and/or signal transduction. Its precise role is however unclear, since it does not bind to very low density lipoprotein (VLDL) or to LRPAP1 in vitro. |
|
Applications: |
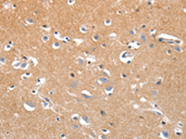
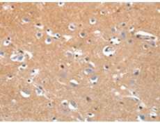
ELISA, IHC |
|
Name of antibody: |
LRP3 |
|
Immunogen: |
Synthetic peptide of human LRP3 |
|
Full name: |
low density lipoprotein receptor-related protein 3 |
|
SwissProt: |
O75074 |
|
ELISA Recommended dilution: |
2000-10000 |
|
IHC positive control: |
Human brain |
|
IHC Recommend dilution: |
100-300 |

購(gòu)物車(chē)
幫助
021-54845833/15800441009
