中文名稱: 兔抗DENND6A多克隆抗體
|
Background: |
Guanine nucleotide exchange factor (GEF) for RAB14. Component of an endocytic recycling pathway that is required for the control of ADAM10 transport, shedding of N-cadherin/CDH2 by ADAM9 or ADAM10 and regulation of cell-cell junctions. Required for RAB14 recruitment to recycling endosomes. |
|
Applications: |
ELISA, WB, IHC |
|
Name of antibody: |
PAK1IP1 |
|
Immunogen: |
Fusion protein of human DENND6A |
|
Full name: |
DENN domain containing 6A |
|
Synonyms: |
AFI1A; FAM116A |
|
SwissProt: |
Q8IWF6 |
|
ELISA Recommended dilution: |
5000-10000 |
|
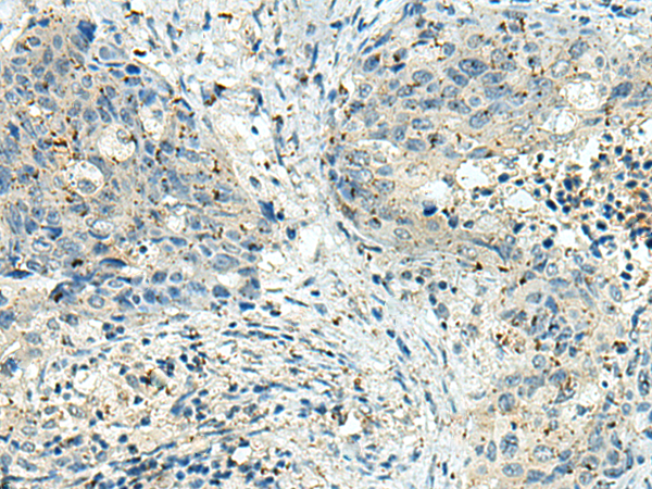
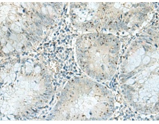
IHC positive control: |
Human cervical cancer and Human colorectal cancer |
|
IHC Recommend dilution: |
100-200 |
|
WB Predicted band size: |
44 kDa |
|
WB Positive control: |
Human heart tissue, Hela cell lysates |
|
WB Recommended dilution: |
500-2000 |


購物車
幫助
021-54845833/15800441009
