中文名稱:兔抗ATAD3A多克隆抗體
|
Background: |
ATAD3A and ATAD3B (MIM 612317) are mitochondrial membrane proteins that contribute to the stabilization of large mitochondrial DNA (mtDNA)-protein complexes called nucleoids (He et al., 2007 [PubMed 17210950]). |
|
Applications: |
ELISA, WB, IHC |
|
Name of antibody: |
ATAD3A |
|
Immunogen: |
Fusion protein of human ATAD3A |
|
Full name: |
ATPase family, AAA domain containing 3A |
|
SwissProt: |
Q9NVI7 |
|
ELISA Recommended dilution: |
5000-10000 |
|
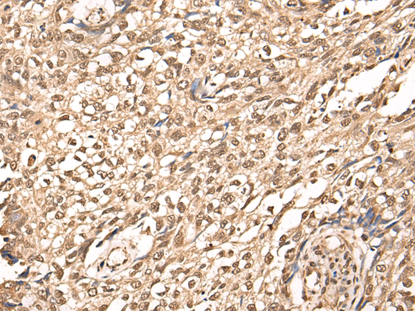
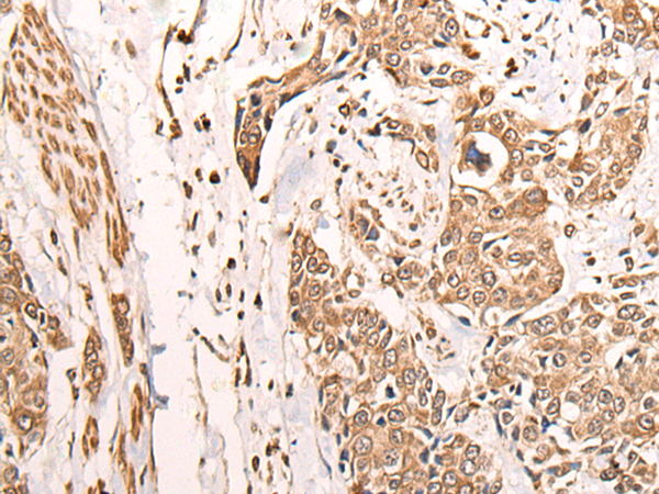
IHC positive control: |
Human lung cancer and human prostate cancer |
|
IHC Recommend dilution: |
25-100 |
|
WB Predicted band size: |
71 kDa |
|
WB Positive control: |
Raji,Hela and A431 cell lysates |
|
WB Recommended dilution: |
500-2000 |
購物車
幫助
021-54845833/15800441009
