中文名稱: 兔抗ATG12多克隆抗體
|
Background: |
Autophagy is a process of bulk protein degradation in which cytoplasmic components, including organelles, are enclosed in double-membrane structures called autophagosomes and delivered to lysosomes or vacuoles for degradation. ATG12 is the human homolog of a yeast protein involved in autophagy. |
|
Applications: |
ELISA, IHC |
|
Name of antibody: |
ATG12 |
|
Immunogen: |
Fusion protein of human ATG12 |
|
Full name: |
autophagy related 12 |
|
Synonyms: |
APG12; FBR93; APG12L; HAPG12 |
|
SwissProt: |
O94817 |
|
ELISA Recommended dilution: |
2000-5000 |
|
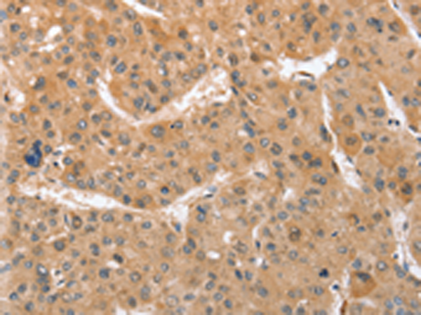
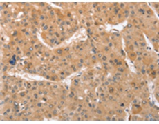
IHC positive control: |
Human liver cancer and human gastric cancer |
|
IHC Recommend dilution: |
50-200 |

購物車
幫助
021-54845833/15800441009
