中文名稱: 兔抗ATP5MPL多克隆抗體
|
Background: |
Mitochondrial membrane ATP synthase (F1F0 ATP synthase or Complex V) produces ATP from ADP in the presence of a proton gradient across the membrane which is generated by electron transport complexes of the respiratory chain. F-type ATPases consist of two structural domains, F1 - containing the extramembraneous catalytic core and F0 - containing the membrane proton channel, linked together by a central stalk and a peripheral stalk. During catalysis, ATP synthesis in the catalytic domain of F1 is coupled via a rotary mechanism of the central stalk subunits to proton translocation (Probable). Minor subunit required to maintain the ATP synthase population in the mitochondria (PubMed:24330338). |
|
Applications: |
ELISA, WB, IHC |
|
Name of antibody: |
ATP5MPL |
|
Immunogen: |
Synthetic peptide of human ATP5MPL |
|
Full name: |
ATP synthase membrane subunit 6.8PL |
|
Synonyms: |
MLQ; MP68; PLPM; 6.8PL; C14orf2 |
|
SwissProt: |
P56378 |
|
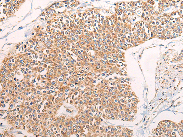
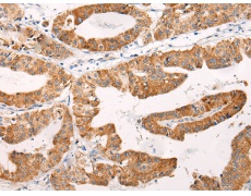
IHC positive control: |
Human prostate cancer and Human brain |
|
IHC Recommend dilution: |
40-200 |
|
WB Predicted band size: |
7 kDa |
|
WB Positive control: |
293T and RAW264.7 cell,Human fetal brain tissue,Jurkat and 231 cell,Human heart tissue,Hela cell lysates |
|
WB Recommended dilution: |
500-2000 |



購物車
幫助
021-54845833/15800441009
