中文名稱:兔抗BAD(Phospho-Ser91/128) 多克隆抗體
|
Background: |
The protein encoded by BAD gene is a member of the BCL-2 family. BCL-2 family members are known to be regulators of programmed cell death. This protein positively regulates cell apoptosis by forming heterodimers with BCL-xL and BCL-2, and reversing their death repressor activity. Proapoptotic activity of this protein is regulated through its phosphorylation. Protein kinases AKT and MAP kinase, as well as protein phosphatase calcineurin were found to be involved in the regulation of this protein. Alternative splicing of this gene results in two transcript variants which encode the same isoform. |
|
Applications: |
WB, IHC |
|
Name of antibody: |
BAD(Phospho-Ser91/128) |
|
Immunogen: |
Peptide sequence around phosphorylation site of Serine 91 (E-P-S(p)-P-F) derived from Human BAD or Serine 128 (E-P-S(p)-P-F) derived from Mouse BAD. |
|
Full name: |
BCL2-associated agonist of cell death |
|
Synonyms: |
BBC2; BCL2L8 |
|
SwissProt: |
Q92934 |
|
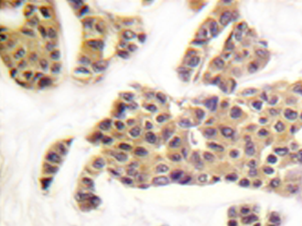
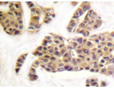
IHC positive control: |
Human breast carcinoma tissue |
|
IHC Recommend dilution: |
50-100 |
|
WB Predicted band size: |
18 kDa |
|
WB Positive control: |
COS7 cells lysates treated with TNF-a |
|
WB Recommended dilution: |
500-1000 |


購物車
幫助
021-54845833/15800441009
