中文名稱: 兔抗BCL2L2多克隆抗體
|
Background: |
This gene encodes a member of the BCL-2 protein family. The proteins of this family form hetero- or homodimers and act as anti- and pro-apoptotic regulators. Expression of this gene in cells has been shown to contribute to reduced cell apoptosis under cytotoxic conditions. Studies of the related gene in mice indicated a role in the survival of NGF- and BDNF-dependent neurons. Mutation and knockout studies of the mouse gene demonstrated an essential role in adult spermatogenesis. Alternative splicing results in multiple transcript variants. Read-through transcription also exists between this gene and the neighboring downstream PABPN1 (poly(A) binding protein, nuclear 1) gene. |
|
Applications: |
ELISA, IHC |
|
Name of antibody: |
BCL2L2 |
|
Immunogen: |
Synthetic peptide of human BCL2L2 |
|
Full name: |
BCL2 like 2 |
|
Synonyms: |
BCLW; BCL-W; PPP1R51; BCL2-L-2 |
|
SwissProt: |
Q92843 |
|
ELISA Recommended dilution: |
5000-10000 |
|
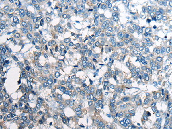
IHC positive control: |
Human liver cancer |
|
IHC Recommend dilution: |
20-100 |

購物車
幫助
021-54845833/15800441009
