|
Background: |
This gene encodes a member of the F-box protein family which is characterized by an approximately 40 amino acid motif, the F-box. The F-box proteins constitute one of the four subunits of the ubiquitin protein ligase complex called SCFs (SKP1-cullin-F-box), which function in phosphorylation-dependent ubiquitination. The F-box proteins are divided into 3 classes: Fbws containing WD-40 domains, Fbls containing leucine-rich repeats, and Fbxs containing either different protein-protein interaction modules or no recognizable motifs. The protein encoded by this gene belongs to the Fbxs class. Alternative splicing of this gene generates at least 3 transcript variants diverging at the 5' terminus. |
|
Applications: |
ELISA, IHC |
|
Name of antibody: |
FBXO9 |
|
Immunogen: |
Synthetic peptide of human FBXO9 |
|
Full name: |
F-box protein 9 |
|
Synonyms: |
FBX9; VCIA1; NY-REN-57; dJ341E18.2 |
|
SwissProt: |
Q9UK97 |
|
ELISA Recommended dilution: |
5000-10000 |
|
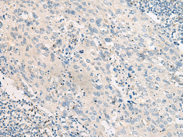
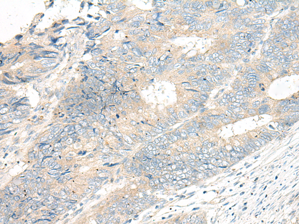
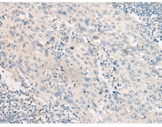
IHC positive control: |
Human colorectal cancer and Human cervical cancer |
|
IHC Recommend dilution: |
25-100 |

購物車
幫助
021-54845833/15800441009
