中文名稱:兔抗BCOR多克隆抗體
|
Background: |
The protein encoded by this gene was identified as an interacting corepressor of BCL6, a POZ/zinc finger transcription repressor that is required for germinal center formation and may influence apoptosis. This protein selectively interacts with the POZ domain of BCL6, but not with eight other POZ proteins. Specific class I and II histone deacetylases (HDACs) have been shown to interact with this protein, which suggests a possible link between the two classes of HDACs. Several transcript variants encoding different isoforms have been found for this gene. A pseudogene of this gene is found on chromosome Y. |
|
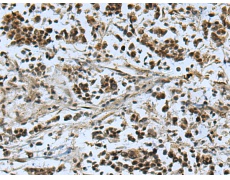
Applications: |
ELISA, IHC |
|
Name of antibody: |
BCOR |
|
Immunogen: |
Fusion protein of human BCOR |
|
Full name: |
BCL6 corepressor |
|
Synonyms: |
MAA2; ANOP2; MCOPS2 |
|
SwissProt: |
Q6W2J9 |
|
ELISA Recommended dilution: |
5000-10000 |
|
IHC positive control: |
Human breast cancer |
|
IHC Recommend dilution: |
100-200 |

購物車
幫助
021-54845833/15800441009
