中文名稱(chēng):兔抗BOP1多克隆抗體
|
Background: |
BOP1(block of proliferation 1 protein) is a 746 amino acid highly conserved non-ribosomal protein that is involved in ribosome biogenesis. Truncation of the amino terminus of BOP1 leads to cell growth arrest in the G1 phase and specific inhibition of 28S and 5.8S rRNA synthesis, as well as a deficit in the cytosolic 60S ribosomal subunit. This suggests that BOP1 is involved in the formation of mature rRNAs and in the biogenesis of the 60S ribosomal subunit. BOP1 physically interacts with pescadillo (a protein involved in cell proliferation) and enables efficient incorporation of pescadillo into the nucleolar preribosomal complexes, thereby affecting rRNA maturation and the cell cycle. The BOP1-pescadillo complex is also necessary for biogenesis of 60S ribosomal subunits. Deregulation of BOP1 may lead to colorectal tumorigenesis. |
|
Applications: |
ELISA, IHC |
|
Name of antibody: |
BOP1 |
|
Immunogen: |
Synthetic peptide of human BOP1 |
|
Full name: |
block of proliferation 1 |
|
SwissProt: |
Q14137 |
|
ELISA Recommended dilution: |
5000-10000 |
|
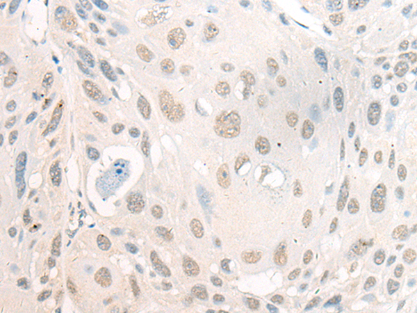
IHC positive control: |
Human esophagus cancer; |
|
IHC Recommend dilution: |
20-100 |

購(gòu)物車(chē)
幫助
021-54845833/15800441009
