中文名稱: 兔抗BSN多克隆抗體
|
Background: |
Neurotransmitters are released from a specific site in the axon terminal called the active zone, which is composed of synaptic vesicles and a meshwork of cytoskeleton underlying the plasma membrane. The protein encoded by this gene is thought to be a scaffolding protein involved in organizing the presynaptic cytoskeleton. The gene is expressed primarily in neurons in the brain. A similar gene product in rodents is concentrated in the active zone of axon terminals and tightly associated with cytoskeletal structures, and is essential for regulating neurotransmitter release from a subset of synapses. |
|
Applications: |
ELISA, IHC |
|
Name of antibody: |
BSN |
|
Immunogen: |
Synthetic peptide of human BSN |
|
Full name: |
bassoon presynaptic cytomatrix protein |
|
Synonyms: |
ZNF231 |
|
SwissProt: |
Q9UPA5 |
|
ELISA Recommended dilution: |
1000-2000 |
|
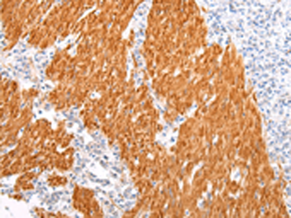
IHC positive control: |
Human gastric cancer and Human liver cancer |
|
IHC Recommend dilution: |
10-50 |

購物車
幫助
021-54845833/15800441009
