中文名稱:兔抗C1QBP多克隆抗體
|
Background: |
The human complement subcomponent C1q associates with C1r and C1s in order to yield the first component of the serum complement system. The protein encoded by this gene is known to bind to the globular heads of C1q molecules and inhibit C1 activation. This protein has also been identified as the p32 subunit of pre-mRNA splicing factor SF2, as well as a hyaluronic acid-binding protein. |
|
Applications: |
WB, IHC |
|
Name of antibody: |
C1QBP |
|
Immunogen: |
Synthesized peptide derived from internal of human C1QBP. |
|
Full name: |
complement component 1, q subcomponent binding protein |
|
Synonyms: |
p32; HABP1; gC1qR; GC1QBP; SF2p32; gC1Q-R |
|
SwissProt: |
Q07021 |
|
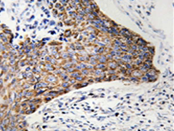
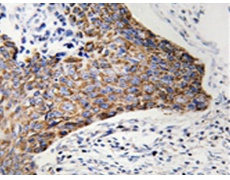
IHC positive control: |
Human tonsil tissue |
|
IHC Recommend dilution: |
50-100 |
|
WB Predicted band size: |
31 kDa |
|
WB Positive control: |
Jurkat cells, K562 cells and Huvec cells lysates |
|
WB Recommended dilution: |
500-3000 |


購物車
幫助
021-54845833/15800441009
