中文名稱:兔抗ZC3H4多克隆抗體
|
Background: |
This gene encodes a member of a family of CCCH (C-x8-C-x5-C-x3-H type) zinc finger domain-containing proteins. These zinc finger domains, which coordinate zinc finger binding and are characterized by three cysteine residues and one histidine residue, are nucleic acid-binding. Other family members are known to function in post-transcriptional regulation. |
|
Applications: |
ELISA, IHC |
|
Name of antibody: |
ZC3H4 |
|
Immunogen: |
Synthetic peptide of human ZC3H4 |
|
Full name: |
zinc finger CCCH-type containing 4 |
|
Synonyms: |
C19orf7 |
|
SwissProt: |
Q9UPT8 |
|
ELISA Recommended dilution: |
5000-10000 |
|
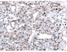
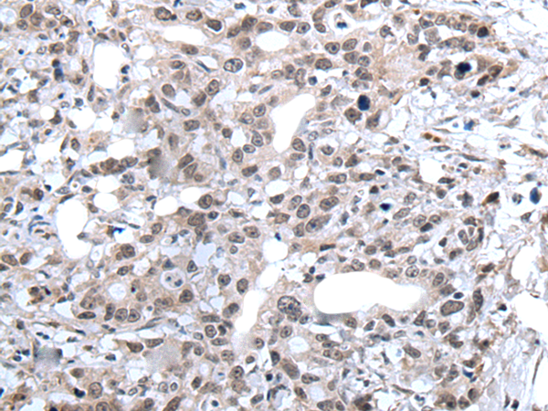
IHC positive control: |
Human colorectal cancer |
|
IHC Recommend dilution: |
25-100 |
購物車
幫助
021-54845833/15800441009
