中文名稱: 兔抗ZSWIM1多克隆抗體
|
Background: |
Zinc-finger proteins contain DNA-binding domains and have a wide variety of functions, most of which encompass some form of transcriptional activation or repression. ZSWIM1 (zinc finger SWIM domain-containing protein 1), also known as C20orf162, is a 485 amino acid protein that contains one SWIM-type zinc finger. The gene encoding ZSWIM1 maps to human chromosome 20. Comprising approximately 2% of the human genome, chromosome 20 contains nearly 63 million bases that encode over 600 genes, some of which are associated with Creutzfeldt-Jakob disease, amyotrophic lateral sclerosis, spinal muscular atrophy, ring chromosome 20 epilepsy syndrome and Alagille syndrome. Additionally, chromosome 20 contains a region with numerous genes which are thought important for seminal production and may be potential targets for male contraception. |
|
Applications: |
ELISA, WB, IHC |
|
Name of antibody: |
ZSWIM1 |
|
Immunogen: |
Fusion protein of human ZSWIM1 |
|
Full name: |
zinc finger SWIM-type containing 1 |
|
Synonyms: |
C20orf162 |
|
SwissProt: |
Q9BR11 |
|
ELISA Recommended dilution: |
5000-10000 |
|
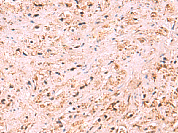
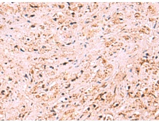
IHC positive control: |
Human tonsil and Human colorectal cancer |
|
IHC Recommend dilution: |
50-300 |
|
WB Predicted band size: |
55 kDa |
|
WB Positive control: |
Human placenta tissue, LOVO cell lysates |
|
WB Recommended dilution: |
500-2000 |
購物車
幫助
021-54845833/15800441009
