中文名稱:小鼠抗CYCS單克隆抗體
|
Background: |
This gene encodes a small heme protein that functions as a central component of the electron transport chain in mitochondria. The encoded protein associates with the inner membrane of the mitochondrion where it accepts electrons from cytochrome b and transfers them to the cytochrome oxidase complex. This protein is also involved in initiation of apoptosis. Mutations in this gene are associated with autosomal dominant nonsyndromic thrombocytopenia. Numerous processed pseudogenes of this gene are found throughout the human genome. |
|
Applications: |
WB, IHC |
|
Name of antibody: |
CYCS |
|
Immunogen: |
Fusion protein of human CYCS |
|
Full name: |
cytochrome c, somatic |
|
Synonyms: |
CYC; HCS; THC4 |
|
SwissProt: |
P99999 |
|
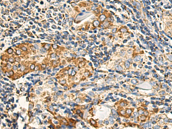
IHC positive control: |
Human tonsil and Human thyroid cancer; Human ovarian cancer and Human esophagus cancer |
|
IHC Recommend dilution: |
100-500 |
|
WB Predicted band size: |
12 kDa |
|
WB Positive control: |
Hela, 231, HepG2 and Jurkat cell, Mouse kidney tissue lysates |
|
WB Recommended dilution: |
5000-20000 |


購物車
幫助
021-54845833/15800441009
