|
Background: |
This gene encodes a serine/threonine protein kinase belonging to the LATS tumor suppressor family. The protein localizes to centrosomes during interphase, and early and late metaphase. It interacts with the centrosomal proteins aurora-A and ajuba and is required for accumulation of gamma-tubulin and spindle formation at the onset of mitosis. It also interacts with a negative regulator of p53 and may function in a positive feedback loop with p53 that responds to cytoskeleton damage. Additionally, it can function as a co-repressor of androgen-responsive gene expression. |
|
Applications: |
ELISA, IHC |
|
Name of antibody: |
LATS2 |
|
Immunogen: |
Synthetic peptide of human LATS2 |
|
Full name: |
large tumor suppressor kinase 2 |
|
Synonyms: |
KPM |
|
SwissProt: |
Q9NRM7 |
|
ELISA Recommended dilution: |
1000-2000 |
|
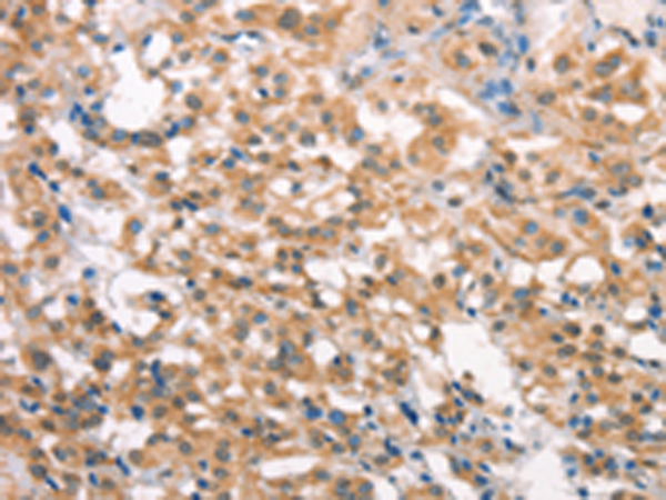
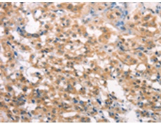
IHC positive control: |
Human thyroid cancer and Human liver cancer |
|
IHC Recommend dilution: |
25-100 |

購物車
幫助
021-54845833/15800441009
