中文名稱:兔抗CPSF2多克隆抗體
|
Background: |
Component of the cleavage and polyadenylation specificity factor (CPSF) complex that play a key role in pre-mRNA 3'-end formation, recognizing the AAUAAA signal sequence and interacting with poly(A) polymerase and other factors to bring about cleavage and poly(A) addition. Involved in the histone 3' end pre-mRNA processing. |
|
Applications: |
ELISA, IHC |
|
Name of antibody: |
CPSF2 |
|
Immunogen: |
Synthetic peptide of human CPSF2 |
|
Full name: |
cleavage and polyadenylation specific factor 2 |
|
Synonyms: |
CPSF100 |
|
SwissProt: |
Q9P2I0 |
|
ELISA Recommended dilution: |
5000-10000 |
|
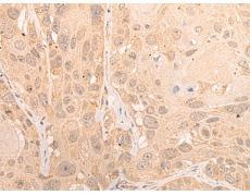
IHC positive control: |
Human esophagus cancer |
|
IHC Recommend dilution: |
25-100 |
購物車
幫助
021-54845833/15800441009
