|
Background: |
This gene encodes a protein that is a member of the CXC subfamily of chemokines. Chemokines, which recruit and activate leukocytes, are classified by function (inflammatory or homeostatic) or by structure. This protein is proposed to bind the G-protein coupled receptor chemokine (C-X-C motif) receptor 2 to recruit neutrophils, to promote angiogenesis and to remodel connective tissues. This protein is thought to play a role in cancer cell proliferation, migration, and invasion. |
|
Applications: |
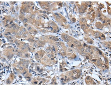
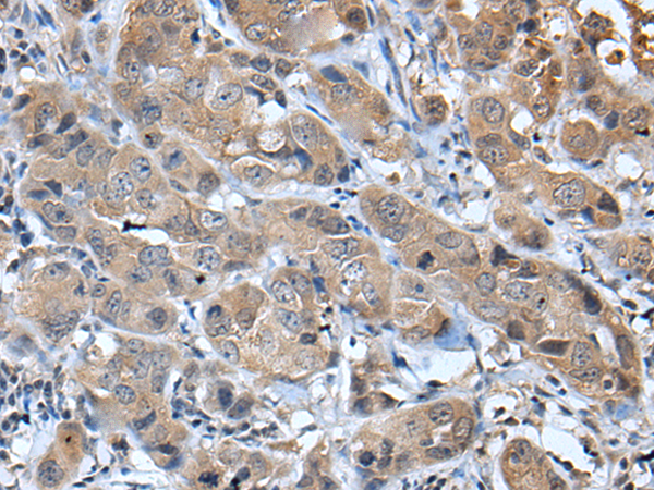
ELISA, IHC |
|
Name of antibody: |
CXCL5 |
|
Immunogen: |
Synthetic peptide of human CXCL5 |
|
Full name: |
chemokine (C-X-C motif) ligand 5 |
|
Synonyms: |
SCYB5; ENA-78 |
|
SwissProt: |
P42830 |
|
ELISA Recommended dilution: |
5000-10000 |
|
IHC positive control: |
Human breast cancer |
|
IHC Recommend dilution: |
35-200 |
購物車
幫助
021-54845833/15800441009
