|
Background: |
The protein encoded by this gene catalyzes the deamination of dCMP to dUMP, the nucleotide substrate for thymidylate synthase. The encoded protein is allosterically activated by dCTP and inhibited by dTTP, and is found as a homohexamer. This protein uses zinc as a cofactor for its activity. Two transcript variants encoding different isoforms have been found for this gene. |
|
Applications: |
ELISA, IHC |
|
Name of antibody: |
DCTD |
|
Immunogen: |
Full length fusion protein(178FULL) |
|
Full name: |
dCMP deaminase |
|
SwissProt: |
P32321 |
|
ELISA Recommended dilution: |
5000-10000 |
|
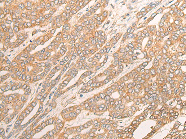
IHC Positive control: |
Human liver cancer; |
|
IHC Recommended dilution: |
25-100 |
購物車
幫助
021-54845833/15800441009
