|
Background: |
Auxiliary enzyme of beta-oxidation. Participates in the degradation of unsaturated fatty enoyl-CoA esters having double bonds in both even- and odd-numbered positions in peroxisome. Catalyzes the NADP-dependent reduction of 2,4-dienoyl-CoA to yield trans-3-enoyl-CoA. Has activity towards short and medium chain 2,4-dienoyl-CoAs, but also towards 2,4,7,10,13,16,19-docosaheptaenoyl-CoA, suggesting that it does not constitute a rate limiting step in the peroxisomal degradation of docosahexaenoic acid. |
|
Applications: |
ELISA, WB, IHC |
|
Name of antibody: |
DECR2 |
|
Immunogen: |
Fusion protein of human DECR2 |
|
Full name: |
2,4-dienoyl-CoA reductase 2 |
|
Synonyms: |
PDCR; SDR17C1 |
|
SwissProt: |
Q9NUI1 |
|
ELISA Recommended dilution: |
5000-10000 |
|
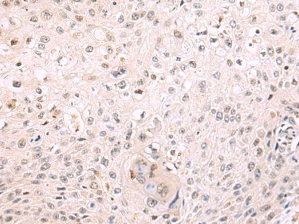
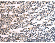
IHC positive control: |
Human esophagus cancer and Human tonsil |
|
IHC Recommend dilution: |
50-100 |
|
WB Predicted band size: |
31 kDa |
|
WB Positive control: |
Mouse brain tissue, HepG2 cell lysates |
|
WB Recommended dilution: |
500-2000 |


購物車
幫助
021-54845833/15800441009
