|
Background: |
The exosome is a multi-protein complex composed of several highly conserved subunits, some of which are 3' to 5' exoribonucleases. The complex is involved in a variety of cellular processes and is responsible for degrading unstable mRNAs that contain AU-rich elements (AREs) in their untranslated 3' regions. DIS3, also known as RRP44, is a 958 amino acid protein that localizes to both the cytoplasm and the nucleus and contains one PINc domain. Widely expressed with highest expression in testis, DIS3 functions as a component of the exosome exoribonuclease complex and is required for processing of 7S pre-RNA into a mature nuclear complex and, ultimately, for proper mitotic progression. Abnormal expression levels of DIS3 may be associated with colon cancer, suggesting a role for DIS3 in tumorigenesis. Multiple isoforms of DIS3 exist due to alternative splicing events. |
|
Applications: |
ELISA, IHC |
|
Name of antibody: |
DIS3 |
|
Immunogen: |
Synthetic peptide of human DIS3 |
|
Full name: |
DIS3 homolog, exosome endoribonuclease and 3'-5' exoribonuclease |
|
Synonyms: |
RRP44; dis3p; EXOSC11; KIAA1008; 2810028N01Rik |
|
SwissProt: |
Q9Y2L1 |
|
ELISA Recommended dilution: |
5000-10000 |
|
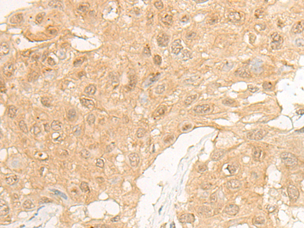
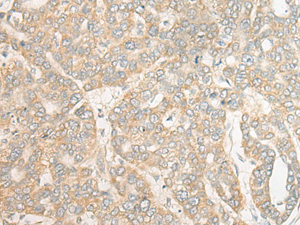
IHC positive control: |
Human liver cancer;Human esophagus cancer |
|
IHC Recommend dilution: |
25-100 |

購物車
幫助
021-54845833/15800441009
