|
Background: |
DLK2 (delta homolog 2), also known as EGFL9 (Epidermal growth factor-like protein 9), is a 383 amino acid single-pass transmembrane protein with six tandem EGF-like repeats in the putative extracellular domain, which is characteristic of the EGF-like protein family. DLK2 shares nearly identical structural features with DLK, suggesting that it may function in a similar way. Like DLK, DLK2 affects adipogenesis of 3T3-L1 preadipocytes and mesenchymal C3H10T1/2 cells, yet it does so in an opposite way to that of DLK. Also, expression of DLK and DLK2 are inversely correlated and changes in expression of one gene will affect the expression levels of the other. Therefore, it is likely that adipogenesis is modulated by the coordinated expression of DLK and DLK2. There are two isoforms of DLK2 that are produced as a result of alternative splicing events. |
|
Applications: |
ELISA, IHC |
|
Name of antibody: |
DLK2 |
|
Immunogen: |
Synthetic peptide of human DLK2 |
|
Full name: |
delta like non-canonical Notch ligand 2 |
|
Synonyms: |
DLK-2; EGFL9 |
|
SwissProt: |
Q6UY11 |
|
ELISA Recommended dilution: |
2000-5000 |
|
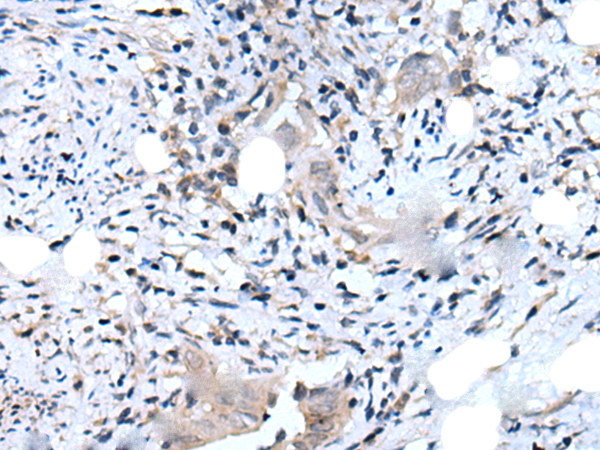
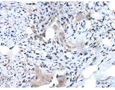
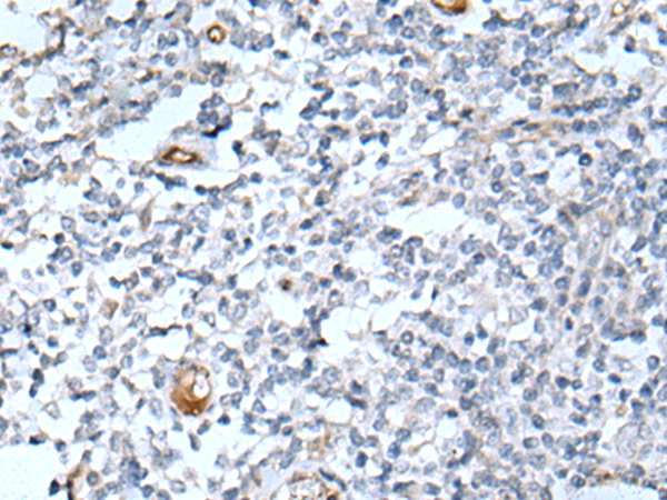
IHC positive control: |
Human tonsil and Human cervical cancer |
|
IHC Recommend dilution: |
20-100 |

購(gòu)物車(chē)
幫助
021-54845833/15800441009
