|
Background: |
Extracts misfolded glycoproteins, but not glycoproteins undergoing productive folding, from the calnexin cycle. It is directly involved in endoplasmic reticulum-associated degradation (ERAD) and targets misfolded glycoproteins for degradation in an N-glycan-independent manner, probably by forming a complex with SEL1L. It has low mannosidase activity, catalyzing mannose trimming from Man8GlcNAc2 to Man7GlcNAc2. |
|
Applications: |
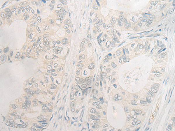
ELISA, IHC |
|
Name of antibody: |
EDEM1 |
|
Immunogen: |
Synthetic peptide of human EDEM1 |
|
Full name: |
ER degradation enhancing alpha-mannosidase like protein 1 |
|
Synonyms: |
EDEM |
|
SwissProt: |
Q92611 |
|
ELISA Recommended dilution: |
5000-10000 |
|
IHC positive control: |
Human liver cancer;Human gastric cancer |
|
IHC Recommend dilution: |
10-50 |
|
|
|

購物車
幫助
021-54845833/15800441009
