中文名稱: 兔抗UBD多克隆抗體
|
Background: |
This gene encodes a protein which contains two ubiquitin-like domains and appears to have similar function to ubiquitin. Through covalent attachment, the encoded protein targets other proteins for 26S proteasome degradation. This protein has been implicated to function in many cellular processes, including caspase-dependent apoptosis, formation of aggresomes, mitotic regulation, and dendritic cell maturation. Upregulation of this gene may promote inflammation in chronic kidney disease and has been observed in many cancer types. |
|
Applications: |
ELISA, IHC |
|
Name of antibody: |
UBD |
|
Immunogen: |
Fusion protein of human UBD |
|
Full name: |
ubiquitin D |
|
Synonyms: |
FAT10; UBD-3; GABBR1 |
|
SwissProt: |
O15205 |
|
ELISA Recommended dilution: |
5000-10000 |
|
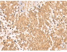
IHC positive control: |
Human tonsil and Human lung cancer |
|
IHC Recommend dilution: |
50-300 |

購物車
幫助
021-54845833/15800441009
